Story
  • Naslovnica
  • Najnovije
  • Celebrity
  • Lifestyle
  • Street Style
  • Zdravlje
  • Vjenčanja
  • Gastro
  • Scena
  • Storybook
  • Roditelji
  • Smartlife
  • Pretplata
Još
KategorijeOstalo
Naslovnica
dvostruka maternica
#

dvostruka maternica

Želim bebu
24.10.2024.

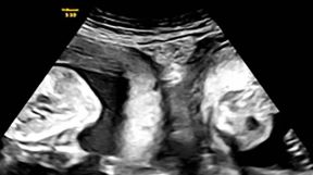
Žena s dvije maternice rodila blizance: Postoji 6 tipova anomalije maternice, koji su simptomi neobičnog položaja?

Komentiraj
Pratite nas na
Najčitanije
Najnovije
Celebrity

'Bila je važan dio naše priče': Hrvatska pjevačica napustila popularni bend nakon 15 godina

Grupa Joy
Celebrity

Nakon što je Tony Cetinski otkazao nastup u Novom Sadu, oglasila se njegova supruga: 'Tu odluku sam donijela ja'

Dubravka Cetinski i Tony Cetinski.jpg
Celebrity

Boris Rogoznica predstavio novu partnericu: 'Puno radosti, emocija...'

Boris Rogoznica
Celebrity

Dva braka i troje djece neobičnih imena: Naš glazbenik uz drugu suprugu pobijedio je poroke i postao obiteljski čovjek

Damir Urban sa suprugom Milicom na splitskom gey prideufoto Mario Strmotic.jpeg
Celebrity

Kraljica Camilla potvrdila ono o čemu se dugo šuškalo: Harry i Meghan odmah su reagirali

Meghan Markle i princ Harry žele da im se kraljevska obitelj ispriča
Sve najčitanije vijesti
Želim bebu

Neka poznata dječja imena ispala iz top 50: Ova nova imena ušla među najpopularnija

Celebrity

Kako nam je bilo na Super Ladies Club afterwork druženju, eventu koji slavi žensku snagu i stil

super ladies club132-190326.jpg
Odgoj

Konferencija 'Odgajati znanjem i srcem' u Zagrebu okuplja vodeće stručnjake za odgoj i razvoj djece

Odgajati znanjem i srcem-vizual.jpg
Food&Travel

Hrvati oduševilo mjesto sat vremena od Zagreba: Dvorac iz 15. stoljeća s nedjeljnim ručkom od 38 €

foto Nikola Zoko  (9).jpg
Celebrity

Danima prije bio u formi, a onda tragedija: Od čega je umro Chuck Norris?

chuck norris
Sve najnovije vijesti
ohc-header-telegram-on-dark3x.pngohc-header-telegram-on-light3x.png
Pale službenice velike državne firme. Jedna maznula dva mobitela od 5000 eura, druga kraduckala keš iz blagajne
Zastrašujuće je kad pomisliš koje sve funkcije drže ovi genijalci koji nemaju pojma gdje je Iran
Redatelj otvorenja Pula film festa odlazi zbog skandaloznog nepotizma Peđe Grbina: ‘Pula počinje sličiti na Vučićevu Srbiju’
zvijezde poručuju
Prije 11 h

Vikend horoskop od 20. do 22. ožujka 2026.: Zakoračili smo u vladavinu Ovna, što to donosi svakom znaku zodijaka

Komentiraj
fashion corner
Prije 8 h

Street style ideje za proljeće 2026.: Kako nositi ključne komade sezone, od klasičnih ogrtača do suknji i traperica

Proljetni modni trendovi 2026
Komentiraj
Lifestyle
Prije 10 h

COOK WITH STORYBOOK: Pripremite Crispy rice salad - toplu hrskavu rižu u kombinaciji s povrćem, piletinom, lososom...

Hrskava riža salata
Komentiraj
razvoj obmane
Prije 9 h

Znanstvenici otkrili kada djeca postaju ‘mali lukavi lažljivci’ – i to puno ranije nego što mislimo

Komentiraj
dan očeva u minista…
19.03.2026.

Sve više očeva u Hrvatskoj koristi očinski dopust: Stipe Pletikosa prvi ambasador obitelji

Komentiraj
Za mame i tate
Prije 11 h

Svi su mi govorili da će razvod naštetiti djeci, ali učinio me boljom majkom

Komentiraj
Story
  • Naslovnica
  • Celebrity
  • Lifestyle
  • Street Style
  • Zdravlje
  • Vjenčanja
  • Gastro
  • Storybook
  • Roditelji
  • Smartlife
  • Impressum
  • Politika o kolačićima
  • Uvjeti korištenja
  • Politika privatnosti
  • Arhiva
© 2026. Telegram media grupa d.o.o.