
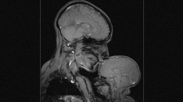
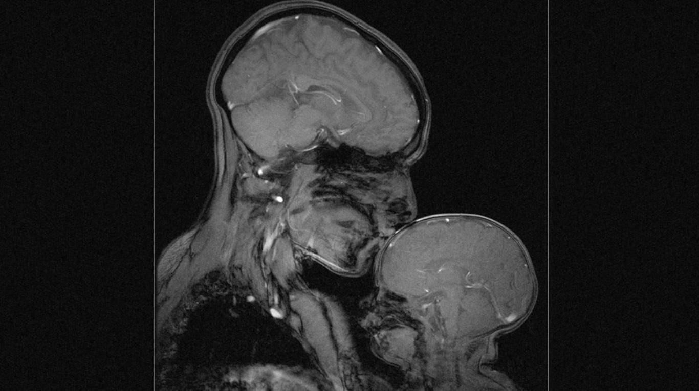
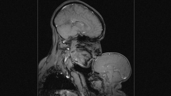
Neuroznanstvenica i profesorica Rebecca Saxe na istraživačkom sveučilištu MIT proučava ljudski mozak i njegovu sposobnost za razvoj misli i jezika. Ideja o zajedničkoj snimci s djetetom pala joj je na pamet već nakon prvog poroda no zbog kompleksnosti izvedbe, ta se zamisao ostvarila 2015. nakon rođenja njezina drugog sina Percyja.
'Bilo je zaista teško napraviti kvalitetnu snimku jer u uređaju za magnetsku rezonancu trebate biti potpuno mirni, a s malim djetetom je to gotovo nemoguće', komentirala je Rebecca, koja je nakon velikog broja neuspjelih pokušaja ipak uspjela uloviti trenutak. Snimku nije napravila u dijagnostičke svrhe već kako bi najpoznatiji portret na svijetu, onaj majke i djeteta, pogledala iz druge perspektive.
'Na ovoj snimci ne vidimo ni odjeću, ni frizuru ni boju kože. Ovo mogu biti bilo koja mama i dijete ili bilo koji tata i dijete u bilo kojem vremenu i dijelu svijeta. Ova slika budi univerzalne emocije ljubavi, ali i straha od ranjivosti i krhkosti koja je u nama', istaknula je Rebecca.
Kaže kako je istraživanje bebina mozga neophodno za razumijevanje ljudskog mozga i njegovih funkcija, eventualnih bolesti i oštećenja.
Iako su bebe nezahvalne za istraživanje jer su nepredvidive, Rebecca smatra kako se u bebinim mozgovima kriju odgovori na mnoga važna pitanja iz područja neuroznanosti. Ovakva nam istraživanja pomažu da osvijestimo moždanu osjetljivost, ali i otpornost, a ovaj čudesan portret podsjetnik je na to koliko toga zaista dijelimo s drugima, a koliko smo jedinstveni i svoji.